
Đối mặt nguy cơ mất thiên chức làm mẹ do u xơ tử cung khổng lồ
Cách đây nửa năm, chị P.T.Y (28 tuổi, Ninh Bình) phát hiện u xơ tử cung kích thước lớn. Vì chưa sinh con và lo ngại phải cắt tử cung nên chị chần chừ chưa điều trị. Tuy nhiên, theo thời gian, bụng chị ngày càng to bất thường, thậm chí có thể sờ thấy một khối cứng chiếm gần toàn bộ vùng bụng dưới khiến chị rất lo lắng.
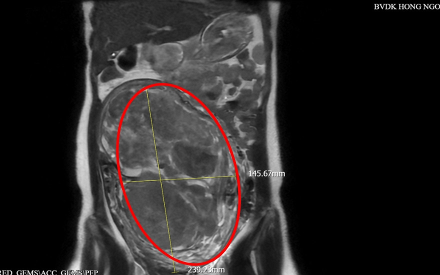
Được người quen giới thiệu, chị tìm đến BVĐK Hồng Ngọc Phúc Trường Minh để thăm khám. Tại đây, kết quả siêu âm và chụp cộng hưởng từ cho thấy khối u choán toàn bộ ổ bụng với kích thước 145x239mm khiến tử cung to bất thường, giải phẫu vùng chậu bị biến đổi đáng kể.

Với kích thước này, khối u có nguy cơ tiếp tục phát triển, gây rong kinh kéo dài, thiếu máu, thậm chí biến chứng nguy hiểm đến tính mạng. Tuy nhiên, phẫu thuật cũng tiềm ẩn rủi ro cao do bề mặt u tăng sinh nhiều mạch máu, nguy cơ băng huyết lớn. Trước khi thăm khám tại đây, một số cơ sở y tế đã tư vấn cắt tử cung toàn phần bởi bóc u có thể khó kiểm soát mất máu nhưng chị muốn giữ lại tử cung để có cơ hội làm mẹ.
“Đây là trường hợp u xơ tử cung kích thước rất lớn trong khi bệnh nhân còn trẻ, vẫn mong muốn giữ được thiên chức làm mẹ. Chính vì vậy, việc lựa chọn phương án điều trị đòi hỏi phải cân nhắc kỹ lưỡng giữa an toàn phẫu thuật và nguyện vọng bảo tồn tử cung của người bệnh”, ThS.BSCKII Nguyễn Văn Xuyên - Trưởng Đơn nguyên Phụ khoa và Tuyến vú, BVĐK Hồng Ngọc Phúc Trường Minh, cho hay.
Phẫu thuật mổ mở bóc u xơ: Thách thức lớn nhưng bảo tồn thành công tử cung
Sau khi hội chẩn chuyên môn, các bác sĩ quyết định lựa chọn mổ mở bóc u xơ thay vì cắt tử cung toàn phần. “Thứ nhất, hình ảnh MRI cho thấy khối u dù lớn nhưng vẫn có ranh giới tương đối rõ với cơ tử cung, chưa xâm lấn lan tỏa toàn bộ thành tử cung. Thứ hai, niêm mạc tử cung vẫn còn được bảo tồn và có thể xác định vị trí bằng siêu âm trong mổ. Điều này mở ra khả năng bóc trọn khối u mà không xâm nhập buồng tử cung, từ đó duy trì chức năng sinh sản”, BS. Nguyễn Văn Xuyên nhận định.
Dù vậy, thách thức của ca mổ là không hề nhỏ. Khi mở ổ bụng, ê-kíp ghi nhận một khối u khổng lồ khoảng 25cm, tử cung to toàn bộ, bề mặt tăng sinh nhiều mạch máu. Nguy cơ băng huyết luôn thường trực nếu thao tác thiếu chính xác.

Để đảm bảo an toàn, các bác sĩ đã sử dụng máy siêu âm trong mổ nhằm xác định chính xác vị trí niêm mạc tử cung, từ đó lựa chọn đường rạch tối ưu. Tử cung được rạch dọc đáy và mặt trước. Quá trình bóc u được thực hiện tỉ mỉ từng bước, sử dụng pank kẹp cầm máu chủ động nhằm hạn chế tối đa lượng máu mất.
Sau hơn 2 giờ phẫu thuật, khối u nặng hơn 1,7 kg được bóc gọn hoàn toàn, tử cung được bảo tồn tối đa, vòi trứng trái được mở thông.

Sau phẫu thuật, người bệnh hồi phục tốt, các chỉ số sinh tồn ổn định. “Lúc trước tôi nghĩ chắc mình không còn đường nào khác. Giờ giữ được tử cung, tôi chỉ thấy nhẹ lòng, vì biết sau này mình vẫn còn hy vọng có con”, chị Y. chia sẻ sau ca mổ.
Theo BS. Nguyễn Văn Xuyên, không phải mọi trường hợp u xơ lớn đều bắt buộc phải cắt tử cung. “Điều quan trọng là đánh giá chính xác đặc điểm khối u, mức độ xâm lấn, khả năng kiểm soát chảy máu và kinh nghiệm phẫu thuật. Với phụ nữ trẻ chưa sinh con, nếu còn điều kiện bảo tồn, chúng tôi luôn ưu tiên giữ lại tử cung”, bác sĩ nhấn mạnh.
Với phụ nữ trẻ, mỗi quyết định điều trị không chỉ liên quan đến bệnh lý hiện tại mà còn ảnh hưởng đến tương lai sinh sản. Trường hợp này cho thấy, khi còn điều kiện bảo tồn và được thực hiện bởi ê-kíp giàu kinh nghiệm, việc giữ lại tử cung hoàn toàn có thể khả thi ngay cả với khối u kích thước lớn.
|
Với đội ngũ bác sĩ hơn 20 năm kinh nghiệm cùng hệ thống phòng mổ vô khuẩn, thiết bị hiện đại, Đơn nguyên Phụ khoa & Tuyến vú - BVĐK Hồng Ngọc Phúc Trường Minh là địa chỉ tin cậy trong thăm khám và điều trị nhiều bệnh lý phụ khoa, ứng dụng kỹ thuật can thiệp hiện đại và quy trình chăm sóc theo chuẩn quốc tế. Hotline: 0886 468 306 Địa chỉ: Khu B, Tầng 3, số 8 Châu Văn Liêm, Từ Liêm, Hà Nội |
(Nguồn: BVĐK Hồng Ngọc)
















