Uống nước hơn 10 lít/ngày
Nam bệnh nhân L.Đ.N. (38 tuổi, Hà Nội) đã phải đi khám sau gần 1 năm liên tục đối mặt với tình trạng khát nước dữ dội, mỗi ngày uống trên 10 lít nước nhưng vẫn không cảm thấy đủ. Đồng thời, tần suất đi tiểu tăng bất thường, 10 - 15 lần/ngày; ban đêm, khoảng 2 giờ phải thức giấc để đi tiểu.

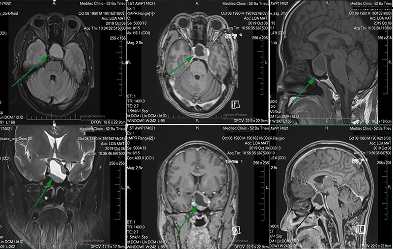
Suy tuyến yên do bị tổn thương thể gây rối loạn nội tiết, căn nguyên của đái tháo nhạt
ẢNH TL MEDLATEC
Tại Phòng khám đa khoa Medlatec Tây Hồ, trao đổi với bác sĩ, bệnh nhân cho biết, đã từng phẫu thuật u sọ hầu năm 2023. Bác sĩ tiến hành chỉ định bệnh nhân thực hiện một số kỹ thuật cận lâm sàng cần thiết phục vụ chẩn đoán.
Kết quả thăm khám và xét nghiệm cho thấy bệnh nhân mắc suy tuyến yên sau phẫu thuật u sọ hầu, là tình trạng rối loạn nội tiết hiếm gặp. Đặc biệt, kết quả xét nghiệm natri máu tăng, cho thấy áp lực thẩm thấu máu tăng và áp lực thẩm thấu niệu giảm. Bệnh nhân được các bác sĩ chẩn đoán mắc suy tuyến yên sau phẫu thuật u sọ hầu, được bác sĩ chỉ định điều trị và hướng dẫn đồng thời thay đổi thói quen sinh hoạt, chế độ dinh dưỡng.
Sau 2 tuần điều trị, bệnh nhân đã đỡ khát nước, uống mỗi ngày khoảng 2,5 - 3 lít, lượng nước tiểu giảm còn 2 - 3 lít/ngày (khoảng 6 - 8 lần/ngày). Bệnh nhân đang tiếp tục duy trì phác đồ điều trị và tái khám theo lịch.
Theo bác sĩ điều trị, trường hợp của anh N. bị đái tháo nhạt. Bệnh không xuất hiện độc lập mà là một phần trong biến chứng suy tuyến yên sau phẫu thuật u sọ hầu. Khi tuyến yên bị tổn thương, hormone chống bài niệu (ADH) suy giảm, khiến cơ thể không giữ được nước, từ đó gây ra tình trạng khát liên tục, đi tiểu nhiều và nước tiểu loãng.
Một người bình thường trung bình đi tiểu khoảng 1 - 2 lít nước tiểu/ngày thì người đái tháo nhạt có thể đi tiểu đến 20 lít mỗi ngày. Nếu người bệnh đái tháo nhạt không uống bù lại lượng nước mất qua nước tiểu, có thể mất nước, điều này rất nguy hiểm cho sức khỏe.
//Chèn ads giữa bài (runinit = window.runinit || []).push(function () { //Nếu k chạy ads thì return if (typeof _chkPrLink != 'undefined' && _chkPrLink) return; var mutexAds = '<zone id="l2srqb41"></zone>'; var content = $('[data-role="content"]'); if (content.length > 0) { var childNodes = content[0].childNodes; for (i = 0; i < childNodes.length; i++) { var childNode = childNodes[i]; var isPhotoOrVideo = false; if (childNode.nodeName.toLowerCase() == 'div') { // kiem tra xem co la anh khong? var type = $(childNode).attr('class') + ''; if (type.indexOf('VCSortableInPreviewMode') >= 0) { isPhotoOrVideo = true; } } try { if ((i >= childNodes.length / 2 - 1) && (i < childNodes.length / 2) && !isPhotoOrVideo) { if (i <= childNodes.length - 3) { childNode.after(htmlToElement(mutexAds)); arfAsync.push("l2srqb41"); } break; } } catch (e) { } } } }); function htmlToElement(html) { var template = document.createElement('template'); template.innerHTML = html; return template.content.firstChild; } if (pageSettings.allow3rd && (typeof _isAdsHidden === 'undefined' || !_isAdsHidden)) { (function(w, q) { w[q] = w[q] || []; w[q].push(["_mgc.load"]) })(window, "_mgq"); }

















