Suy kiệt sau 6 tháng nôn ói và giảm 12kg
Theo chia sẻ từ BS.CKI Lê Tiến Dũng – Khoa Ngoại Tiêu hóa, Bệnh viện Thống Nhất, bệnh nhân A. nhập viện trong trạng thái suy dinh dưỡng nặng, chỉ số khối cơ thể (BMI) chỉ còn 15 – một mức báo động đỏ cho sức khỏe. Bệnh sử cho thấy trong suốt 6 tháng qua, bệnh nhân thường xuyên cảm thấy buồn nôn, nôn ra thức ăn cũ, khó tiêu và sụt cân không kiểm soát.
BS.CK1. Lê Tiến Dũng, khoa Ngoại Tiêu hóa thăm khám bệnh nhân.
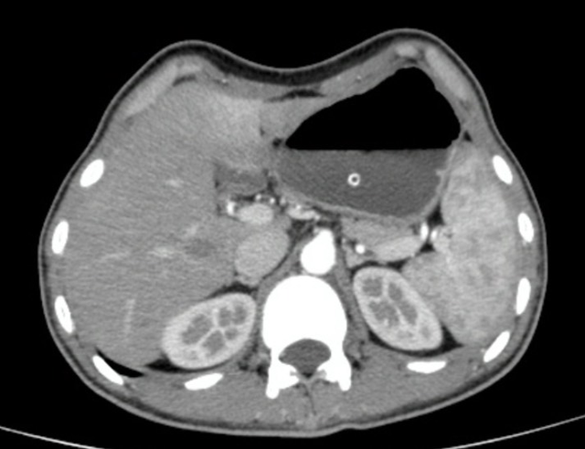
Kết quả chụp CT cho thấy dạ dày bệnh nhân bị giãn rất lớn, sa xuống tận vùng mào chậu – trong khi vị trí bình thường của dạ dày là ở phía trên rốn. Cấu trúc cơ thể bệnh nhân thay đổi rõ rệt, cơ bắp tiêu biến gần như hoàn toàn, bụng hõm sâu theo hình lòng thuyền – dấu hiệu đặc trưng của suy dinh dưỡng mạn tính.
Gia đình cho biết A. có thói quen sống "cú đêm", thường xuyên thức rất khuya để chơi game online. Việc say mê game đã khiến nam sinh này ăn uống thất thường, bỏ bữa thường xuyên và ngủ nghỉ không điều độ trong suốt nhiều năm.
Hẹp môn vị – biến chứng nguy hiểm của viêm loét dạ dày
Theo bác sĩ Dũng, bệnh nhân được chẩn đoán hẹp môn vị nặng – một biến chứng hiếm gặp nhưng nguy hiểm của bệnh viêm loét dạ dày tá tràng. Môn vị là đoạn cuối của dạ dày, đóng vai trò điều tiết thức ăn xuống ruột non. Khi bị viêm loét kéo dài, sẹo xơ có thể hình thành và gây hẹp môn vị, khiến thức ăn không thể thoát ra khỏi dạ dày. Hậu quả là thức ăn bị ứ đọng, dạ dày bị giãn to, gây nôn ói, chán ăn và sụt cân nghiêm trọng.
TS.BS. Hồ Hữu Đức - Trưởng Khoa Ngoại Tiêu Hoá - Bệnh Viện Thống Nhất chia sẻ thông tin báo chí.
Trong trường hợp của A., tình trạng này kéo dài dẫn đến cơ thể không thể hấp thu đủ dưỡng chất, gây suy kiệt toàn thân và ảnh hưởng nghiêm trọng đến chất lượng sống.
Ca phẫu thuật đặc biệt trong hoàn cảnh bệnh nhân suy kiệt
Trước tình trạng bệnh nhân suy dinh dưỡng quá nặng, các bác sĩ phải tiến hành hội chẩn liên khoa, đặc biệt là với Khoa Dinh dưỡng, để lập kế hoạch hỗ trợ trước và sau phẫu thuật.
Quang cảnh buổi thông tin báo chí.
Ekip phẫu thuật đã quyết định thực hiện phẫu thuật nối vị tràng – một kỹ thuật tạo đường đi mới cho thức ăn từ dạ dày xuống thẳng ruột non, bỏ qua môn vị bị hẹp. Dù kỹ thuật không quá phức tạp, nhưng do thể trạng bệnh nhân quá yếu, các bác sĩ phải hết sức thận trọng, đảm bảo từng chi tiết nhỏ để tránh biến chứng sau mổ.
Sau hai tuần hồi phục tích cực, bệnh nhân đã ăn uống trở lại bình thường, sức khỏe cải thiện rõ rệt và bắt đầu tăng cân trở lại. Tuy nhiên, nam sinh này vẫn cần được theo dõi dinh dưỡng nghiêm ngặt để tránh tái phát hoặc biến chứng khác trong tương lai.
Lối sống "cú đêm" và nghiện game: Nguy cơ tiềm ẩn cho giới trẻ
Trường hợp của bệnh nhân A. không phải là cá biệt. TS.BS.CKII Hồ Hữu Đức – Trưởng khoa Ngoại Tiêu hóa, Bệnh viện Thống Nhất – cảnh báo rằng tình trạng viêm loét dạ dày ngày càng trở nên phổ biến ở người trẻ tuổi, với xu hướng gia tăng nhanh chóng trong những năm gần đây.
Tình trạng Hẹp môn vị X quang dạ dày.
Nguyên nhân chủ yếu đến từ lối sống thiếu khoa học: ăn uống không điều độ, thường xuyên bỏ bữa, thức khuya, căng thẳng kéo dài và đặc biệt là việc sử dụng điện thoại, máy tính, tivi trong thời gian dài. Nhiều bạn trẻ hiện nay có thói quen sinh hoạt trái ngược với nhịp sinh học tự nhiên, thường xuyên thức đến 2-3 giờ sáng và ngủ bù vào ban ngày. Điều này không chỉ làm rối loạn hệ tiêu hóa mà còn ảnh hưởng đến hormone, miễn dịch và chức năng trao đổi chất.
"Nếu không điều chỉnh sớm, viêm loét dạ dày có thể gây ra những biến chứng nguy hiểm như xuất huyết tiêu hóa, thủng dạ dày, hẹp môn vị và thậm chí là ung thư dạ dày – một trong những loại ung thư nguy hiểm nhất ở Việt Nam hiện nay," bác sĩ Đức cảnh báo.
Lời cảnh tỉnh và khuyến nghị từ chuyên gia
Từ ca bệnh của nam sinh A., các bác sĩ gửi đến cộng đồng – đặc biệt là giới trẻ – một thông điệp rõ ràng: sức khỏe không phải là thứ có thể xem nhẹ, và mọi hành vi trong sinh hoạt hằng ngày đều có thể để lại hậu quả lâu dài nếu không kiểm soát kịp thời.
Bác sĩ Hồ Hữu Đức khuyến cáo: "Các bạn trẻ nên sớm thay đổi những thói quen xấu. Duy trì một lối sống lành mạnh, ăn uống điều độ đúng giờ, hạn chế đồ ăn nhanh, nước ngọt có ga và thực phẩm cay nóng. Đặc biệt, nên giảm thời gian sử dụng điện thoại, máy tính và tăng cường vận động thể chất, ngủ đủ giấc để cơ thể có điều kiện phục hồi và phát triển toàn diện."
Ngoài ra, người dân nên đi khám sức khỏe định kỳ và chú ý đến các triệu chứng bất thường về tiêu hóa như đầy bụng, ợ chua, đau bụng hoặc buồn nôn kéo dài. Phát hiện sớm bệnh lý dạ dày sẽ giúp giảm nguy cơ biến chứng và điều trị hiệu quả hơn.
Bài học từ một ca bệnh
Câu chuyện của nam sinh 19 tuổi không chỉ là một ca bệnh lạ mà còn là lời cảnh tỉnh sâu sắc về lối sống của một bộ phận không nhỏ thanh thiếu niên hiện nay. Trong thời đại số, khi mọi thứ có thể cuốn con người vào vòng xoáy công nghệ, điều cần thiết hơn bao giờ hết là sự cân bằng – giữa học tập, giải trí và chăm sóc sức khỏe bản thân.
Không ai có thể sống khỏe mạnh nếu cơ thể bị bỏ bê. Không có trò chơi điện tử nào xứng đáng với sức khỏe bị đánh đổi. Và không có đêm thức khuya nào đủ quan trọng để làm hỏng cả một hệ tiêu hóa. Cân bằng, kỷ luật và yêu thương bản thân – đó chính là "chìa khóa" để giữ gìn sức khỏe giữa thế giới hiện đại đầy cám dỗ này.
















