Ngày 10.3, Bệnh viện đa khoa Trung ương Cần Thơ cho biết các bác sĩ Trung tâm Chấn thương - Chỉnh hình của bệnh viện vừa thực hiện thành công ca phẫu thuật thay khớp háng trong 1 lần mổ cho bệnh nhân bị hoại tử chỏm xương đùi 2 bên. Nhờ áp dụng kỹ thuật mổ trực tiếp phía trước (Direct Anterior Approach - DAA) ít xâm lấn nên chỉ 2 ngày sau mổ, bệnh nhân đã có thể tập đi.

Hình ảnh X-quang trước phẫu thuật cho thấy bệnh nhân bị hoại tử nặng chỏm xương đùi 2 bên
ẢNH: ĐT
Trước đó, bệnh nhân D.H.P (49 tuổi, ở thành phố Cần Thơ) nhập viện trong tình trạng đau khớp háng 2 bên kéo dài nhiều năm, phải thường xuyên sử dụng thuốc giảm đau và gặp khó khăn khi đi lại.
Qua thăm khám, xét nghiệm, chẩn đoán hình ảnh, các bác sĩ xác định bệnh nhân bị hoại tử chỏm xương đùi 2 bên. Nguyên nhân là do giảm hoặc mất nguồn máu nuôi chỏm xương đùi, dẫn đến hoại tử xương.

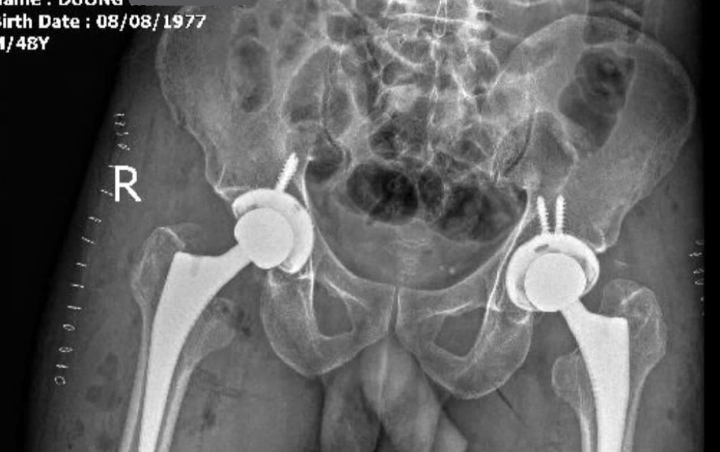
Hình ảnh chụp X-quang sau khi đã thay chỏm xương đùi 2 bên cho bệnh nhân
ẢNH: ĐT
Ê kíp bác sĩ đã tiến hành phẫu thuật cho bệnh nhân qua đường mổ trực tiếp phía trước - phương pháp phẫu thuật ít xâm lấn trong thay khớp háng. Sau phẫu thuật, bệnh nhân phục hồi tốt và đến ngày thứ 2 đã có thể tập đi lại với khung hỗ trợ.
Theo bác sĩ chuyên khoa 2 Huỳnh Thống Em, Giám đốc Trung tâm Chấn thương - Chỉnh hình, Bệnh viện đa khoa Trung ương Cần Thơ, ưu điểm của phương pháp này là không cần phải cắt các nhóm cơ quanh khớp háng như phương pháp kinh điển mổ lối sau. Nhờ vậy, mô mềm được bảo tồn tốt hơn, bệnh nhân ít đau sau mổ, phục hồi vận động nhanh và nguy cơ trật khớp háng sau phẫu thuật rất thấp…

Nhờ phương pháp mổ ít xâm lấn nên bệnh nhân hồi phục nhanh có thể tập đi lại chỉ sau 2 ngày được phẫu thuật
ẢNH: ĐT
Cũng theo bác sĩ Thống Em, bệnh hoại tử chỏm xương đùi thường gặp ở nam giới trong độ tuổi lao động, khoảng 30-50 tuổi và có xu hướng trẻ hóa trong những năm gần đây.
Các nghiên cứu trong nước cũng cho thấy 80-90% bệnh nhân là nam giới, trong đó lạm dụng rượu bia chiếm tới 75-85%, đặc biệt khi kết hợp với hút thuốc lá sẽ làm tăng nguy cơ tổn thương khớp háng 2 bên. Nếu không được điều trị kịp thời, bệnh có thể tiến triển đến xẹp chỏm xương đùi và tàn phế, nhiều trường hợp phải thay khớp háng nhân tạo khi tuổi đời còn khá trẻ.








