Chị N.H.A (36 tuổi, trú tại Hà Nội) đến bệnh viện khám vì rối loạn kinh nguyệt kéo dài 3 tháng, kèm theo các triệu chứng hô hấp đáng lo ngại như ho khan, nuốt vướng và khạc máu đông.
Phó giáo sư Hoàng Thị Phượng, Phó Chủ nhiệm Bộ môn Nội Trường Đại học Y Dược (ĐH Quốc gia Hà Nội), trực tiếp thăm khám và chỉ đạo chẩn đoán.
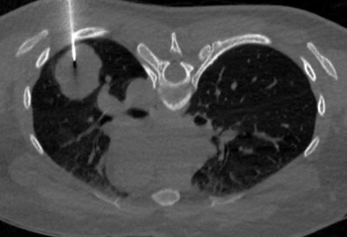
Kết quả xét nghiệm cho thấy Beta-hCG tăng cao tới 1540 U/L, một chỉ số thường chỉ gặp ở phụ nữ mang thai. Chụp CT lồng ngực có tiêm cản quang phát hiện khối u thùy dưới phổi trái, kèm theo nốt nhỏ thùy giữa phổi phải, cần loại trừ tổn thương thứ phát.

Bác sĩ đã chỉ định sinh thiết phổi dưới hướng dẫn CT để xác định bản chất tổn thương. Sau khi phân tích hình thái mô bệnh học, các bác sĩ giải phẫu bệnh đã đưa ra chẩn đoán đây là một loại u ác tính. Tuy nhiên, hình ảnh tế bào rất hiếm gặp và cần phải làm thêm các xét nghiệm chuyên sâu như hóa mô miễn dịch hoặc sinh học phân tử.
Dựa vào kết quả trên, chị A. được chẩn đoán mắc u phổi ác tính ung thư tế bào nuôi nguyên phát tại phổi, là một loại ung thư rất hiếm gặp. Sau đó, chị A. được chuyển tới Bệnh viện Phổi Trung ương.
Theo bác sĩ Phượng, ung thư tế bào nuôi vốn khởi phát từ tế bào lá nuôi của nhau thai tại tử cung. Tuy nhiên, trường hợp của chị A. là Choriocarcinoma nguyên phát tại phổi biến thể đặc biệt hiếm gặp.
Ung thư tế bào nuôi nguyên tại phổi phát sinh từ các tế bào mầm đa năng bị "lạc chỗ" từ giai đoạn phôi thai, sau đó diễn tiến ác tính ngay tại nhu mô phổi. Đây là loại u có độ ác tính rất cao, xâm lấn mạch máu mạnh và di căn nhanh qua đường máu đến não, gan, xương.
Do khối u trực tiếp giải phóng hormone Beta-hCG vào máu, bệnh nhân thường có triệu chứng giả mang thai hoặc rối loạn nội tiết (rối loạn kinh nguyệt, căng tức ngực). Kết hợp với đặc tính giàu mạch máu gây ho ra máu, đau ngực, căn bệnh này rất dễ bị chẩn đoán nhầm với các bệnh lý sản khoa hoặc hô hấp thông thường.



















