“Ăn khi còn nóng, uống khi còn bốc khói” từ lâu đã trở thành thói quen phổ biến của nhiều gia đình. Tuy nhiên, chính thói quen tưởng chừng tốt cho tiêu hóa này lại có thể âm thầm gây hại cho cơ thể nếu duy trì trong thời gian dài.
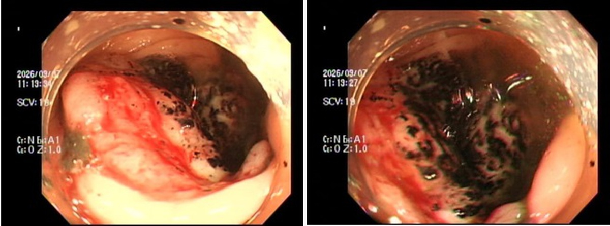
Tháng 1 năm nay, ông Từ (56 tuổi, sống tại thành phố Tuyền Châu, tỉnh Phúc Kiến, Trung Quốc) cùng vợ đi kiểm tra sức khỏe định kỳ tại bệnh viện địa phương. Kết quả nội soi dạ dày - thực quản khiến cả hai sốc nặng: cả hai đều được chẩn đoán mắc ung thư thực quản. May mắn là bệnh được phát hiện sớm, chưa có dấu hiệu di căn.
Sau đó, hai vợ chồng chuyển đến Bệnh viện Ung bướu tỉnh Phúc Kiến (Trung Quốc) để điều trị. Ông Từ băn khoăn vì gia đình có tiền sử ung thư thực quản nên bản thân mắc bệnh có thể hiểu được, nhưng vợ ông còn khá trẻ, không có yếu tố di truyền thì vì sao cũng mắc?
Sau khi khai thác kỹ thói quen sinh hoạt, bác sĩ cho biết nguyên nhân chính nằm ở thói quen ăn uống: thường xuyên uống trà nóng, ăn canh nóng, ăn lẩu và các món “càng nóng càng ngon”. Việc thực quản liên tục bị kích thích bởi nhiệt độ cao trong thời gian dài có thể gây tổn thương niêm mạc, từ đó làm tăng nguy cơ ung thư.
Sau khi đánh giá tình trạng bệnh, các bác sĩ đã chỉ định phẫu thuật nội soi trung thất để điều trị triệt căn ung thư thực quản cho cả hai bệnh nhân. Chỉ 5 ngày sau mổ, hai vợ chồng đã có thể xuất viện, sau khoảng một tuần phục hồi đã rút ống nuôi ăn và dần trở lại chế độ ăn bình thường.
Theo bác sĩ, ung thư thực quản ở giai đoạn sớm thường không có triệu chứng rõ ràng. Người bệnh có thể chỉ cảm thấy vướng khi nuốt, tức ngực nhẹ hoặc ăn uống kém - những dấu hiệu dễ bị nhầm với viêm họng hay rối loạn tiêu hóa thông thường.
Chuyên gia khuyến cáo, để giảm nguy cơ ung thư thực quản, cần hạn chế thói quen ăn uống quá nóng, tránh dùng trà, cháo, canh khi còn bốc khói, đồng thời hạn chế các món có nhiệt độ cao như lẩu, đồ cay nóng.
Trường hợp của vợ ông Từ - người không có yếu tố di truyền nhưng vẫn mắc bệnh - cho thấy rõ vai trò của thói quen ăn uống trong nguy cơ ung thư. Phát hiện sớm vẫn là yếu tố quyết định giúp tăng cơ hội điều trị hiệu quả và giảm biến chứng nguy hiểm.
Uống nước nóng, canh nóng mỗi ngày làm tăng gấp 6 lần nguy cơ ung thư
Năm 2016, Cơ quan Nghiên cứu Ung thư Quốc tế (IARC) thuộc Tổ chức Y tế Thế giới đã xếp việc tiêu thụ đồ uống ở nhiệt độ trên 65 độ C vào nhóm 2A, tức “có thể gây ung thư cho con người”. Đáng chú ý, phân loại này nhấn mạnh yếu tố rủi ro nằm ở nhiệt độ, không phải bản thân trà, cà phê hay bất kỳ loại đồ uống cụ thể nào.
Kết luận của IARC phần lớn dựa trên dữ liệu từ Nam Mỹ, nơi người dân có thói quen uống maté, một loại nước thảo mộc truyền thống, ở mức nhiệt khoảng 70 độ C. Tại đây, những người tiêu thụ maté rất nóng với tần suất cao được ghi nhận có nguy cơ ung thư thực quản cao hơn đáng kể. Các nghiên cứu tại Trung Đông, châu Phi và một số quốc gia châu Á sau đó cũng ghi nhận xu hướng tương tự ở nhóm thường xuyên uống đồ uống ở mức “rất nóng”.
Điều này là bởi khi chất lỏng quá nóng đi qua, lớp niêm mạc mỏng manh của thực quản có thể bị tổn thương. Nếu tình trạng này lặp đi lặp lại trong thời gian dài, các tế bào bị kích thích tái tạo liên tục, làm tăng nguy cơ xuất hiện biến đổi bất thường.
Các nghiên cứu hiện đại trên động vật tiếp tục củng cố nhận định đó. Trong một thí nghiệm, chuột uống nước ở mức 70 độ C xuất hiện tổn thương tiền ung thư sớm và nhiều hơn so với nhóm uống ở nhiệt độ thấp hơn.
Một hướng lý giải khác cho rằng nhiệt độ cao có thể làm suy yếu hàng rào bảo vệ tự nhiên của thực quản, khiến cơ quan này dễ bị tổn thương bởi axit dạ dày trào ngược. Sự kết hợp giữa chấn thương nhiệt và viêm mạn tính do trào ngược có thể tạo thành “vòng xoắn” tổn thương kéo dài theo năm tháng.
Các bác sĩ tiêu hóa khuyến nghị người dân nên chờ khoảng 5 phút trước khi uống đồ uống nóng để chờ nhiệt độ của nó có thể giảm 10-15 độ C trong thời gian này; hãy mở nắp cốc mang đi để tăng tốc độ tản nhiệt; khuấy, thổi nhẹ hoặc thêm sữa, nước mát để hạ nhiệt nhanh hơn; và uống ngụm nhỏ trước để “thử nhiệt”, tránh nuốt một lượng lớn khi còn quá nóng.
(Tổng hợp)














